KTJ (Hong Kong) Dental Laboratory Ltd.
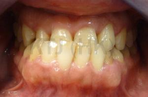
Case A (E.max anterior crown)
Before restoration
Case A (E.max anterior crown)
Shape measurment
Case A (E.max anterior crown)
After restoration
Case B (Full mouth 3M Lava crown)
Before restoration
Case B (Full mouth 3M Lava crown)
After restoration
×
>
<